心臓病を取り巻く現代の環境では、ワークフロー効率、診断と治療、患者のケアにおいて妥協することなく、最新のイメージングソリューションを導入する必要に迫られています。 フィリップスの心臓血管向け超音波診断装置は、心臓病部門におけるケア品質とワークフローの改善に有用な優れた機能および性能を備えており、すべての患者に対して、それぞれ最適なケアを提供できます。
フィリップスのEPIQ CVxは、優れた機能を備えた循環器向け超音波診断ソリューションです。


Affiniti CVx
フィリップスの循環器向けハイエンド超音波診断装置であるEPIQ CVxのDNAを受け継いだCVxファミリーです。循環器向けのユーザーインターフェースやイノベーションが組み込まれています。

Compact 5000シリーズ
Compact 5000シリーズは、ますます厳しくなる医療の課題に対応すべく、EPIQおよびAffinitiシリーズのコンパクト版として、共通の操作性、トランスジューサの互換性、優れた画質、臨床的な汎用性といった特長を備えています。
EPIQ CVxは、循環器領域におけるフィリップスの実績と、定量化におけるTOMTECの実証された専門知識を組み合わせた、専用の高性能超音波診断ソリューションです。検査能力を拡充し、循環器に特化したワークフローを改善することで、提供する検査の質を強化するのに役立ちます。

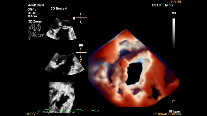
革新的なX5-1c経胸壁トランスジューサと、強力なnSIGHT Plusアーキテクチャにより実現される、高いイメージパフォーマンスを実感していただけます。
Auto Measureではルーチンでの計測を自動化し、再現性の向上と、検査時間の削減をもたらします。
このように、診断ができる画質に迅速にアクセスし、自動で計測を行うことで、日々要求が高まるルーチン検査エコーをサポートし検者の負担を軽減します。

デザインと機能の両立
狭い肋間にもアプローチしやすいデザインを採用し、幅広い患者でよりよい画質をもたらします。

ルーチン検査の負担を軽減
自動化アルゴリズムを用いたCardiac Auto Measureを用いることで、マニュアルでの計測と比較して約半分の時間で迅速かつ再現性の高い計測を実現します。

X5-1c TV TrueVue

X5-1c AutoStrain

TrueVue
TrueVueと仮想光源により、欠損部位や構造の奥行きの把握が容易になり、経胸壁および経食道エコーによる観察力が向上します。

Dynamic HeartModel
HeartModelは、日々のワークフローの一貫として、確実で再現性のある駆出率(EF)をわずか数秒で提供する3Dツールです。Dynamic HeartModelは、左室(LV)および左房(LA)のVolumeカーブを表示します。

Anatomical Intelligence搭載 EchoNavigator
インターベンション手技中に組織構造、カテーテル、デバイスの位置を確実に把握するため、Philips EPIQ CVxiはマルチモダリティによる意思決定をサポートします。

AutoStrain
TOMTEC AutoStrainは、シンプルなワンボタンソリューションを提供します。信頼性を高めるために6,000例以上の画像を使用して開発されたAuto View Recognition(自動描出断面認識能)およびAuto Contour Placement(自動境界配置機能)を使用して、迅速かつ再現性の高い左室のGlobal Longitudinal Strain(GLS)算出を可能にします。




You are about to visit a Philips global content page
Continue