フィリップスは、循環器系の医療に携わる皆様が同分野の最前線に立ち続けるための支援を目指しています。EPIQ CVx Transcend は、現在、医療従事者および医療制度にのしかかる過度の負担を軽減することを目標に開発された心臓血管専用超音波診断装置です。EPIQ CVx Transcend を使用することにより、容易かつ迅速に一貫した検査を実施でき、描出が困難な患者も含め、詳細な臨床情報を取得し、確信の持てる診断に導きます。

新しいモニタテクノロジーと視覚化ツールを搭載し、シャープでクリアな画像を提供します。さらに、アルゴリズムおよびアプリケーションを刷新しワークフローを円滑にし、操作性を再考してユーザーエクスペリエンスを改善しました。

AI を活用したストレイン解析 AutoStrain LV に、AI による最適な 3 断面の選択機能である Smart View Select が加わり、検査中に必要な 3 断面が保存されると 1 ボタンでストレイン解析を開始することができます。また、Mid Layer のストレイン解析、Auto EF 算出にも対応し、迅速かつ高い再現性で多くのパラメーターを得ることができます。このことは多くの検査を実施しなければならない検査室で効率よく信頼性の高い検査を実行することに貢献します。

AI がルーチンの心機能計測をアシスト Auto Measure は AI が自動で 2D またはドプラの計測を行う機能です。検者の熟練度によるばらつきや、さまざまな状況下においても一貫した計測結果が得られるよう日々の計測をサポートします。Transcend に搭載された Smart Doppler View ID 機能は、ドプラ計測の際に AI が現在スキャンしている断面を認識し、計測の際に必要な計測項目をタッチスクリーンに表示します。検者が計測項目を探す手間を省略でき、検査の効率化をもたらします。

心臓血管用に設計されたユーザーインタフェース EPIQ CVx Tanscend は、ユーザーから最も重要であるとのフィードバックを得たコントロールレイアウトのカスタマイズ機能を搭載しており、ユーザーは使用頻度の高いボタンを希望どおり配置できます。EPIQ CVx Transcend を見た臨床医の 85%¹が、UI のカスタマイズによりオンカートでのスキャンワークフローが向上するだろうと答えました²。EPIQ CVx Transcend のインタフェースはタブレットのインタフェースに類似しており、3D データセットの縮小、拡大、回転も可能です。その結果、手を伸ばしてボタンを押す回数が減少します。SmartExam と併用することで検査時間を 30~50% 短縮でき、1 回の検査でボタンを押す回数も約 300 回削減でき、一貫性を高めます³。最終的には、患者に集中できる時間が増え、検査全体に対してより強い確信を持てるだけでなく、繰り返しの動作やストレスを低減できます。

鮮明な画像表示 EPIQ CVx Transcend には、22 インチの第二世代有機 EL モニタが搭載されています。180° の視野角を提供し、ダイナミックレンジおよび色範囲も従来製品より拡大しました。さらに、MaxVue による全画面表示により、画像サイズは解像度を犠牲にすることなく従来型超音波画像と比較して 38% 大きくなっています。これにより、side-by-side、color compare、全画像表示機能において、より観察が容易になっています。

定量化に確信をもたらす HeartModel は、ルーチンワークフローの一部として、確実で再現性のある駆出率(EF)をわずか数秒で提供する 3D ツールです。Dynamic HeartModel は、左室(LV)および左心房(LA)の Volume カーブを表示します。また、LV Mass および LV Mass Index などの計測が可能です。Dynamic HeartModel では、複数の心拍解析が可能になり、不整脈と思われる患者の定量化も行うことができます。EPIQ CVx Transcend を見た臨床医の 78%¹が、画像品質の向上、視覚化ツールの進歩(TrueVue や有機 EL モニタ画面など)、Dynamic HeartModel(進化した HeartModel)²により、診断に対する確信を高めることができると回答しました。

仮想光源によるフォトリアリスティックな3D画像 心臓組織用 TrueVue と仮想光源により、欠損部位や構造の奥行きの把握が容易になり、経胸腔の心臓組織および経食道エコーの視覚化も向上します。新型 EPIQ CVx Transcend を見た臨床医の 90%⁵が、新しい TrueVue 3D フォトリアリスティックレンダリングにより組織構造がより理解しやすく表示されるため、臨床的確信を強く持つことができると回答しました。

実績のある xMATRIX アレイトランスジューサと PureWave クリスタルテクノロジーにより、トランスジューサを持ち替えることなく 2D 画像および Live 3D 画像を提供します。X5-1c は、画質を損なわない 3D およびカラー 3D のワンビート画像を含め、すべてのイメージングモードに対応しています。X5-1c で撮影した 3D ボリューム画像は、優れた実績を誇る 3D Anatomical Intelligence Ultrasound(AIUS)ツールである Dynamic HeartModel も使用可能です。その場合、画像最適化において一貫性を確保する、acquisition モードと設定を使用します。

次世代 Live 3D TEE 用の設計 X8-2t Live 3D 経食道トランスジューサの音響設計では、より高い周波数と広い帯域幅により、2D および Live 3D での分解能が上がり、心筋組織の詳細が表現されるようになりました。その結果、Live 3D および Live 3D カラーにおいて、画質を犠牲にすることなく、真の意味でのワンビート画像取得とフィリップス史上最高のボリュームレートが実現しました。ハンドルには、リアルタイムで設定可能なファンクションボタンが搭載され、検査中でも追加機能を使用できます。

全ビームの最大活用 フィリップスは、xMATRIX や PureWave などの最新テクノロジーを開拓してきました。EPIQ CVx Transcend の根幹を支える技術である nSIGHT イメージングアーキテクチャは、送信時により多くの音響データを取得してデジタルビーム再構成と焦点処理の最適化を行い、xMATRIX と PureWave テクノロジーをより強化します。その結果、フレームレートと画質のどちらかを犠牲にすることなく、解像度と均一性に優れたリアルタイム画像を提供し、高周波での弱い信号においても、ペネトレーションと感度を強化します。
僧帽弁疾患の理解を深めるには EPIQ CVx Transcend の Philips Cardiac TrueVue について
左心耳を迅速・簡単に、直感的に評価するには EPIQ CVx Transcend の LAA ソリューションについて

理解を深めるために インターベンション手技中に組織構造、カテーテル、デバイスの位置を確実に把握するため、EPIQ CVx Transcend はマルチモダリティによる意思決定をサポートします。3D 経食道エコーイメージ中に任意にマーカーを置くと、3 次元位置情報を反映したうえで X 線透視イメージ上に反映されます。これにより、インテグレートされた画像を用いて術者同士のコミュニケーションを円滑に図ることができます。

インターベンションとのコラボレーション用に開発されたフォトリアリスティックレンダリング 循環器用 TrueVue は、仮想光源を使用してデバイスの視認性を向上させる、新しい 3D 超音波表示方法です。TrueVue は、組織の詳細と奥行き方向の情報を分かりやすく示す画像を提供して、カテーテルおよびデバイスの位置の把握を容易にします。エコー画像がより分かりやすく表示されることで、インターベンション医は確信を持って処置を行うことができます。新型 EPIQ CVx Transcend を見た臨床医の 90%⁵が、新しい TrueVue 3D フォトリアリスティックレンダリングにより組織構造の表示が改善されるため、臨床的確信を強く持つことができると回答しました²。
情報を豊富に含む画像 EPIQ CVx Transcend に搭載された MultiVue を使用して、インターベンション手技中に、ワンクリックで Live 3D 画像のクロッピングや、心臓組織内のカテーテル位置合わせを行うことができます。つまり、適切なタイミングでの適切な画像提供や、より迅速な 3D 測定が可能になります(例:僧帽弁の修復術中にデバイスサイジングを行うなど)。新しい EPIQ CVx Transcend を見た臨床医の 94%⁴が、EPIQ MultiVue の位置合わせツールは、インターベンション手技中²に、不適切なサイズのデバイスを選択するリスクを軽減すると回答しました。


鮮明な画像表示
EPIQ CVx Transcend には、22 インチの第二世代有機 EL モニタが搭載されています。さらに、MaxVue による全画面表示により、画像サイズは解像度を犠牲にすることなく従来型超音波画像と比較して 38% 大きくなっています。その結果、カテーテル検査室のような明るい環境下でも、side-by-side 表示、カラーコンペア、xPlane、Live 3D、MPR 表示もよりクリアに表示されます。

心臓血管用に設計されたユーザーインタフェース EPIQ CVx Transcend は、ユーザーから最も重要であるとのフィードバックを得たコントロールレイアウトのカスタマイズ機能を搭載しており、ユーザーは使用頻度の高いコントロールを希望どおり配置できます。また、インタフェースはタブレットのインタフェースに類似しており、3D データセットの縮小、拡大、回転も可能です。新型 EPIQ CVx Transcend を見た臨床医の 86%⁴が、新しい心臓血管用ユーザーインタフェースにより、超音波ガイド下処置を効率化できると回答しました²。

次世代 Live 3D TEE 用の設計 X8-2t Live 3D 経食道トランスジューサの音響設計では、より高い周波数と広い帯域幅により、2D および Live 3D での分解能が上がり、心筋組織の詳細が表現されるようになりました。その結果、Live 3D および Live 3D カラーにおいて、画質を犠牲にすることなく、真の意味でのワンビート画像取得とフィリップス史上最高のボリュームレートが実現しました。ハンドルには、リアルタイムで設定可能なファンクションボタンが搭載され、検査中でも追加機能を使用できます。

MR の逆流量を自動で算出 AI による簡便で再現性の高い僧帽弁逆流の解析ツールです。PISA 計測では評価が難しい症例や、逆流口が複数ある症例でも動的に解析を行うことができます。従来の 2D での計測では得ることができないこれらの結果を使用して、より正確な診断に貢献します。

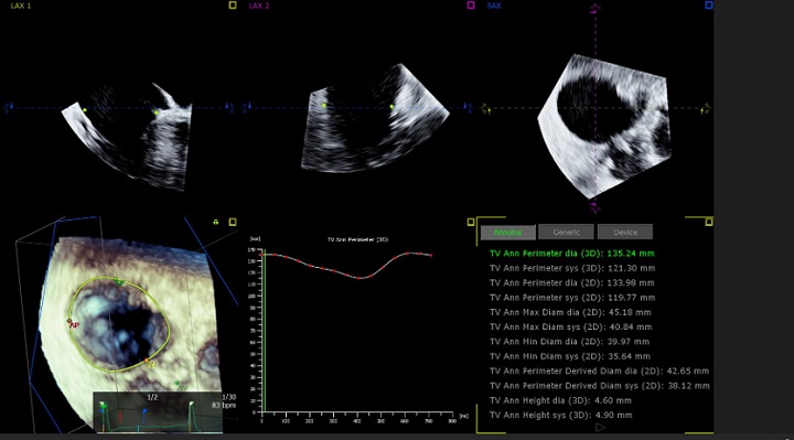
三尖弁解析ツール 三尖弁治療のプランニングに有用なサイジングなどを 3D データから自動で実行するツールです。複雑な三尖弁の解析は従来では手動で行われ、その複雑な形態ゆえにばらつきが大きいものでしたが、AI を使用した 3D Auto TV では再現性高く解析を行うことができます。

TrueVue Color による構造およびフローの視認性の改善

TrueVue Glass による超音波を使用した心臓形態の視覚化

xPlane Doppler での心臓フロー評価時における正確なゲート配置

3D Auto LAA で LAA オリフィス測定を迅速に取得
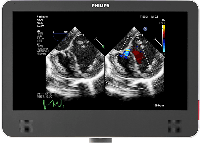
小児心臓用 PureWave トランスジューサ PureWave S9-2 トランスジューサは、シングルクリスタルテクノロジーにより、詳細で優れたコントラスト分解能を有し、さらに超広帯域幅による優れたペネトレーションを実現します。その結果、より深い部位においても詳細な組織情報を低ノイズで取得できます。実際、新型 EPIQ CVx Transcend を見た小児患者担当臨床医の 92%⁶が、新型 PureWave S9-2 トランスジューサはより優れた 2D モードのイメージングを可能にすると回答しました²。


冠動脈の容易かつ迅速な評価 フィリップス EPIQ CVx Transcend のワンボタン式コロナリーサブモード(多くのセクタトランスジューサに搭載)を搭載した新型 EPIQ CVx Transcend を見た小児患者担当臨床医の 92%6が、川崎病、冠動脈異常、冠動脈瘻の病状検出において、現在使用しているシステムよりも EPIQ CVx Transcend のコロナリーサブモードの方が優れていると回答しました2。
小児循環器用にカスタマイズ可能なユーザーインタフェース EPIQ CVx Transcend は、ユーザーから最も重要であるとのフィードバックを得たコントロールレイアウトのカスタマイズ機能を搭載しており、ユーザーは使用頻度の高いコントロールを希望どおり配置できます。最終的には、患者に集中できる時間が増え、検査全体に対してより強い確信を持てるだけでなく、繰り返しの動作やストレスを低減できます。


鮮明な画像表示 EPIQ CVx Transcend には、22 インチの第二世代有機 EL モニタが搭載されています。180° の視野角を提供し、ダイナミックレンジおよび色範囲も従来製品より拡大しました。さらに、MaxVue による全画面表示により、画像サイズは解像度を犠牲にすることなく従来型超音波画像と比較して 38% 大きくなっています。その結果、並列比較、カラー比較、xPlane、Live 3D、MPRs、負荷エコー画像の機能が強化されました。
インターベンションとのコラボレーション用に開発されたフォトリアリスティックレンダリング
循環器用 TrueVue は、仮想光源を使用してインターベンションデバイスの視覚化を強化する、独自の最新 3D 超音波表示方法です。TrueVue は、組織の詳細と奥行き方向の情報を分かりやすく示す画像を提供して、カテーテルおよびデバイスの位置の把握を容易にします。EPIQ CVx Transcend を見た臨床医の 90%⁵が、新しい TrueVue 3D フォトリアリスティックレンダリングにより組織構造の表示が改善されるため、臨床的確信を強く持つことができると回答しました²。


胎児検査用の優れたイメージング eL18-4 PureWave リニアトランスジューサは、妊娠初期および妊娠中期の胎児エコー検査において、優れた 2D 解像度とペネトレーションを提供します。さらに、X6-1 xMATRIX トランスジューサは、高画質な 2 D画像と胎児心臓の Live 3D 画像を提供します。
小さな患者のための 2D TEE フィリップスのマルチプレーン MicroTEE S8-3t は細径シャフトを実現しており、重要な心臓カテーテル術や外科手術中における 2.5kg 程度の極めて小さな乳児のイメージング、および新生児の高性能リアルタイムイメージングが可能です。

現在、心血管治療がかつてないほど複雑になり、新しいツールが必要とされています。EPIQ CVx Transcend は、EPIQ の優れた性能に、確信を持てる診断、容易なワークフロー、ハートチームのシームレスなコラボレーションを実現するために設計された進化を融合しました。

* AI 技術の設計に Deep Learning または Machine Learning を使用しており、実装後に自動的に装置の性能・精度が変化することはありません。




You are about to visit a Philips global content page
Continue