
小児患者の治療は進化しています。小児用の治療薬が進歩したことにより、一時は致命的な状態にあった子供たちの回復に役立っています。これにより、治療医は、急性期の症例の診断から、慢性的な小児疾患の継続的な治療やさまざまな複雑な症例の管理へと、フォーカスをシフトすることができます。 小児患者の評価に使用するフィリップスの最先端の超音波ソリューションは、小児特有のニーズに合わせたイメージングを迅速かつ確実、丁寧に提供するようにカスタマイズされており、今までにないケアの向上を実現しています。
多くの症例において他の侵襲的なイメージングモダリティに移行することなく、超音波診断で重要な臨床判断を行うことができます。"
Jeffrey Miller, MD, Chief of Radiology
Pediatric Neuroradiologist, Phoenix Children’s Hospital, Phoenix AZ

イメージング
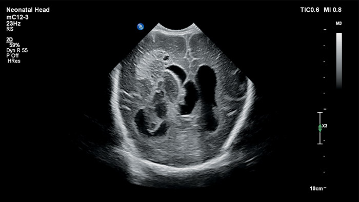
小児患者のイメージング用に最適化された世界初の優れたPureWaveトランスジューサファミリーを提供します。従来の小児用トランスジューサと比較して、ペネトレーションがさらに30%向上することが示されています。*



ElastQ Imagingでは、組織の硬さを大きな撮像視野でリアルタイムで評価します。イメージングが困難な小児患者に最適です。



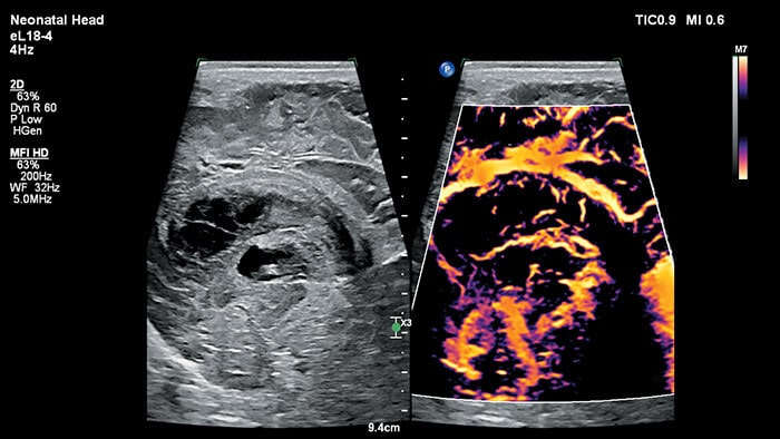
MicroFlow Imaging(MFI)は、高いフレームレートと2D画質を維持しながら、アーチファクトを低減する技術です。この技術によって、MFI HDの感度と分解能は標準的なMFI**の2倍を上回り、多くの小児臨床アプリケーションにおける血流の詳細な観察に最適です。


*EPIQ Elite超音波診断システムにおけるmC12-3トランスジューサとC8-5トランスジューサについてキャリブレーション済みの組織ファントムの内部測定比較。 **臨床ターゲットと標準測定方法を使用した、標準的なMFIとEFI HDDの内部測定比較。




You are about to visit a Philips global content page
Continue