S4-1 セクタトランスジューサは、循環器領域でリアルタイム性に優れた高解像度の画像を提供します。

傍胸骨長軸像(S4-1)

心尖四腔像(S4-1)

心尖三腔像(S4-1)

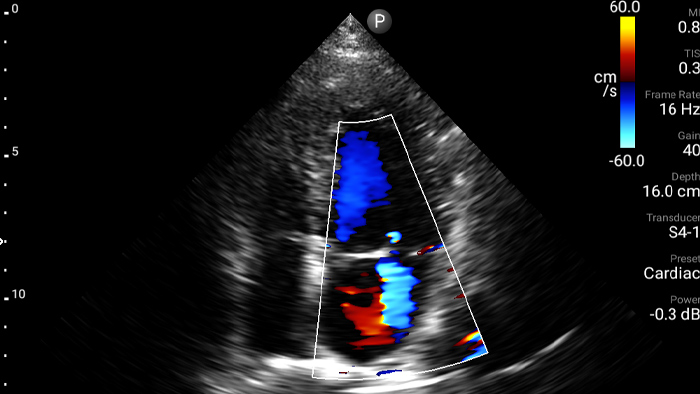
僧帽弁逆流症(S4-1)

下大静脈(S4-1)

傍胸骨短軸像(S4-1)

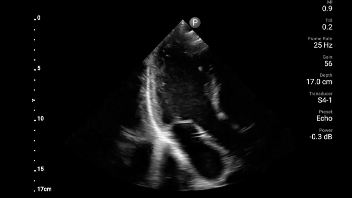
心窩部四腔像(S4-1)

下大静脈(S4-1)

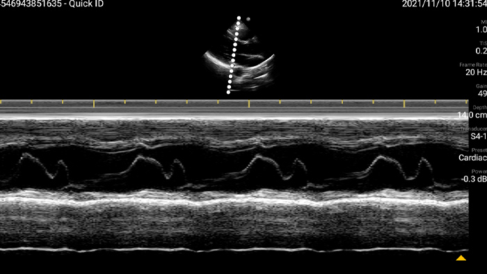
左室壁運動M-Mode (S4-1)

僧帽弁レベルM-Mode (S4-1)

僧帽弁流入血流ドプラ波形(S4-1)

S4-1セクタトランスジューサ
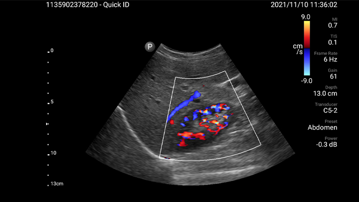
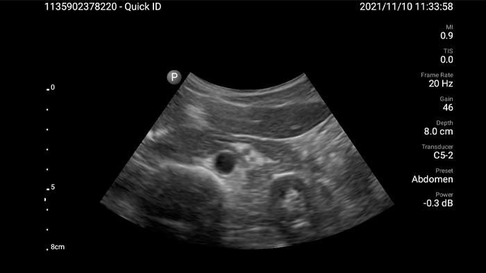
C5-2 コンベックストランスジューサは、腹部臓器を深部までクリアに描出することが可能です。

正常肝(C5-2)

脂肪肝(C5-2)

肝血管腫(C5-2)

肝血管腫(C5-2)

門脈(C5-2)

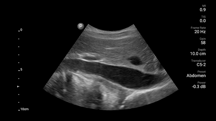
下大静脈(C5-2)

腎臓(C5-2)

腎血流(C5-2)

腎嚢胞(C5-2)

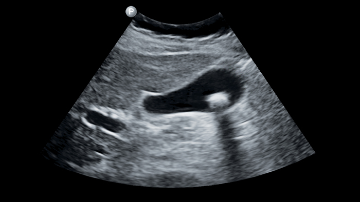
胆嚢結石(C5-2)

膵臓(C5-2)

C5-2 コンベックストランスジューサ
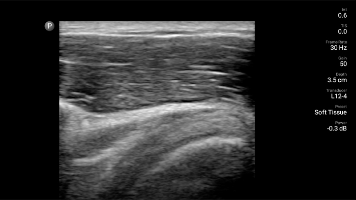
L12-4 リニアトランスジューサは、整形外科・リハビリテーション領域で観察する筋肉、腱、神経を高分解能に抽出します。

回旋腱板/肩関節(L12-4)

上腕二頭筋腱(L12-4)

肩関節(L12-4)

L12-4 トランスジューサ
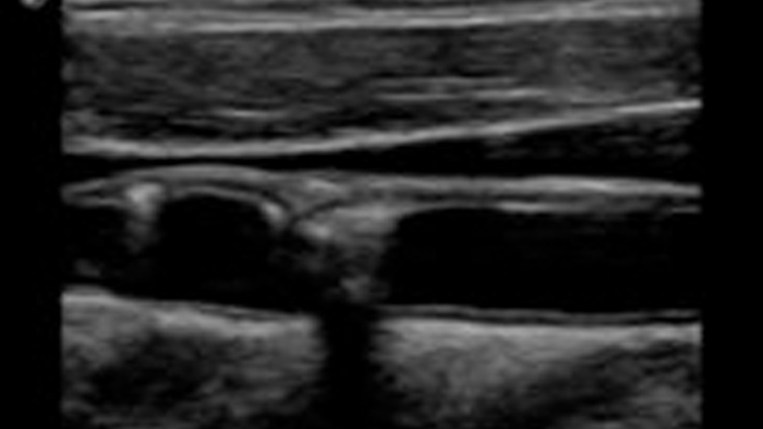
L12-4 リニアトランスジューサは、血管の構造や血流、インターベンション治療時の針先をクリアに描出することが可能です。

総頸動脈(L12-4)

総頸動脈石灰化(L12-4)

総頸動脈壁厚計測(L12-4)

総頸動脈カラー(L12-4)

頸動脈カラー動画(L12-4)

頸動静脈(L12-4)

椎骨動脈血流(L12-4)

膝下静脈弁(L12-4)

膝下静脈ミルキング(L12-4)

総頸動脈ドプラ波形(L12-4)

L12-4 トランスジューサ
肺エコーでは、肺炎などで発生するB-Lineをリアルタイムに計測する機能:B-Lineカウンティングが搭載されています。肺野の病変の広がりを視覚的に把握することができ、経時的な評価が簡便に行えます。

B-Lineカウンティング機能(S4-1)

A-line画像(S4-1)

B-Lineサマリ(異常)

B-Lineサマリ(正常)
胎児の臓器や臍帯血流を、クリアに描出可能です。Reacts遠隔診療支援機能を使うことで、離れたところにいる専門医にリアルタイムの指導をしてもらいながらエコーを実施することも可能です。

胎児心臓(C5-2)

臍帯血流カラー動画(C5-2)
胎児頭部20週(C5-2)
胎児頭部28週(C5-2)

臍帯動脈血流波形(C5-2)

C5-2 コンベックストランスジューサ

Reacts 遠隔診療支援機能
You are about to visit a Philips global content page
Continue