
世界中で、増大する健康上の懸念として肝疾患が注目されています。
肝疾患は世界中で年間約200万人の死亡の主要因となっており、そのうち約100万人が肝硬変、約100万人がウイルス性肝炎および肝細胞がんによるものです。肥満、アルコール、薬物使用などの不健康なライフスタイルが肝疾患の根本原因であり、多くの場合、肝疾患は予防することができます¹。
何十年にもわたり、肝生検は疾病評価の標準的な方法として使用されていますが、近年では、肝脂肪を測定するための方法としてMRプロトン密度脂肪率(MR-PDFF)が加わりました。ただし、この方法には、生検時の痛みやMRイメージングへのアクセス、コストの高さ、待ち時間の長さといった患者にとっての障壁が存在します。
そこでフィリップスのEPIQ & Affiniti超音波診断装置のイノベーションにより、肝疾患の評価、治療、モニタリングを支援する包括的なソリューションがもたらされます。

フィリップスの肝脂肪化定量(LFQ)ツールを使用。

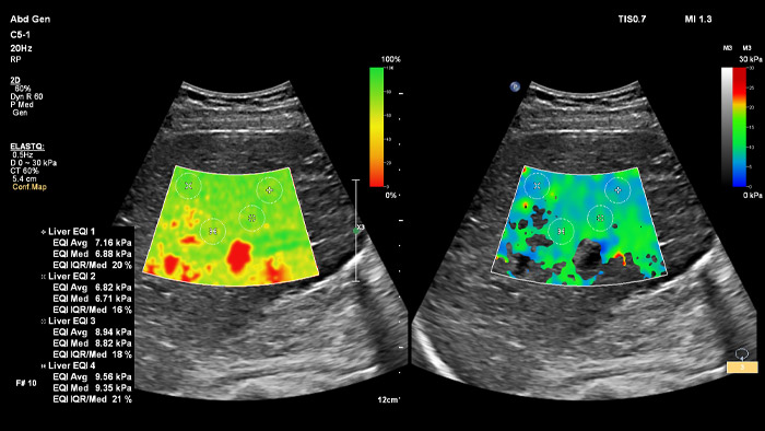
ElastQ Imagingを使用*。

C5-1トランスジューサによるスキャンを従来のトランスジューサと比較。
*独自のConfidence MapとStiffness Mapを並列表示することでワークフローの手順を減らし、データ取得および計測の段階で関連付けて計測することができます。
特に、この技術を使用することにより、慢性肝疾患に対して非侵襲的な方法を用いて3分未満で完全な検査を実施できることを考慮すると、本技術を広く使用することで、進行した慢性肝疾患のスクリーニングに役立つ可能性があります。”
Richard G. Barr, MD, PhD
President, Radiology Consultant, Inc. (Youngstown, Ohio) Medical Director, Southwoods Imaging

ElastQは非侵襲的で再現性があり、簡単に実行でき、組織の硬さを2D Shear Wave(2D-SWE)でリアルタイムで評価します。ElastQでは保存した画像を使用して検査終了後にも計測することができ、Shear Waveが適切に伝搬されていることを示すConfidence Mapも含まれています。
ElastPQは肝臓の組織の硬度を取得するPoint Shear Wave Elastography(pSWE)です。関心領域にROIを置くと、リアルタイムイメージングをガイドとし、数秒で組織の硬さのデータが取り込まれます。複数のサンプルの記録が可能で、肝臓レポートが表示されます。
Attenuation Imagingでは、肝実質によって吸収される音の減衰係数を計算することにより、肝臓に存在する脂肪の量を測定できます。この方法では定量的な減衰パラメータが得られ、脂肪肝患者のマネージメントをサポートします。
HRI Imaging技術は腎臓に対する肝実質の相対的な明るさを比較するもので、肝脂肪化度の情報を迅速かつ定量的に提供します。
Attenuation Imaging

ElastQ Imaging


超音波造影剤は肝臓診断における超音波診断装置の役割を変え、ユーザーはリアルタイムで肝臓病変の増強パターンを観察して、迅速で確実な診断を行えます。フィリップスの超音波診断装置を使用することで、造影超音波検査は標準ワークフローへとシームレスに統合し、動脈、門脈、後期相のスキャンで高精細な描出を可能にします。




フィリップスのフュージョンとニードルナビゲーション機能を使用して、診断が困難な症例でも信頼性の高い検査の実施をサポートします。合理化されたワークフローにより、ユーザーはCT/MRI/PET画像とリアルタイムの超音波画像を迅速かつ効率的にフュージョンすることが可能です。小さくてアクセスが難しい症例の生検には、ニードルナビゲーションによるガイドも実施することができます²。 腫瘍輪郭マーカーを使用すると、半自動的に3Dのマーカーを生成し、プランニングおよび病変の位置を把握することができます。腫瘍輪郭マーカーを用いることで難易度の高い症例における、手技の向上に貢献します。



体型や体格は人によってさまざまです。PureWaveクリスタルテクノロジーを使用することで、優れた分解能、ドプラ感度、造影超音波性能(CEUS)を維持しながら、スキャンが困難な体型の患者のペネトレーションを改善できます。
PureWaveクリスタルテクノロジーは、過去40年の圧電トランスジューサマテリアルにおける最大の発明であり、従来の圧電マテリアルよりも85%効率性が高まり、他に類を見ないほどのパフォーマンスがすべての体型で得られます。
フィリップスの EPIQ Elite Elevate 超音波診断装置は、臨床現場が直面する数々の課題に応えるために、高い臨床性能、操作性、高度な自動化技術を搭載しています。さらに、診断精度を新しいレベルに高めるため、さまざまな領域に応じたツールを備えている超音波ソリューションです。
Affiniti 70 Elevate 超音波診断装置は、スピーディーで、より信頼性の高い診断を目指したパフォーマンスとワークフローを提供します。
Affiniti 50 Elevate 超音波システムは、スピーディーに、より信頼性の高い診断を目指したパフォーマンスとワークフローを提供しています。
1 Asrani et al, Burden of liver disease in the world. Journal ofhepatology, Vol 70, Issue 1, 2019.)
2 Kim E, Patel RS, Fischman AM, Nowakowski S, Lookstein RA. CT-Guided Liver Biopsy With Electromagnetic Tracking: Results From a Single-Center Prospective Randomized Controlled Trial. AJR 2014; 203:W715–W723)




You are about to visit a Philips global content page
Continue