従来よりも予測しやすく、生産的で、コスト効率の高いMRIサービスを実現するには、どうしたらよいでしょうか。ヘリウムフリーのMRI運用はその道標になります。ヘリウムは限りある天然資源であるため、MRIの運用面と採算面への影響が高まりつつあり、予測が立てにくなっています。私たちが革新的なBlueSealマグネットを開発した理由はここにあります。従来のマグネットは一般的に約1,500リットルの液体ヘリウムを使用しますが、十年に渡るイノベーションを通じて開発されたこのマグネットは、わずか7リットルの液体ヘリウムで運用できます。ヘリウムはマグネット内に密封されており、ヘリウムを使用することによって生じるさまざまなリスクから解放されたMRI運用が可能です。さらに、Ingenia Ambition 1.5Tでは高クオリティなスキャンと一貫性の高い検査を提供します。自由度の高い設置が可能です。MRIの新しい世界を体感してみませんか。
フィリップスのBlueSealマグネットでは、高効率の新しいMicro-coolingテクノロジーを使用しています。液体ヘリウムはマグネット内に密封されており¹、クエンチによる磁場消失時にもヘリウムが外部に漏れることはありません。この利点はMRI運用における継続性、安全性、コスト負担に大きな影響を及ぼします。
Ingenia Ambition 1.5Tで、これらすべてが実現します。MRIイメージングをあらゆるレベルで改善する機会が得られます。

さらなる高速化の実現 MRI検査を最大65%高速化²、時間の有効活用が可能

検査ストレスからの開放 息止め時間を最大40%短縮、画像品質は実質的に同等³

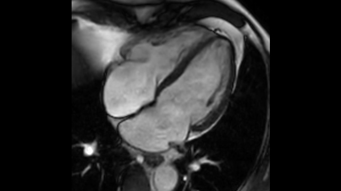
確信が持てる画像診断 同じスキャン時間で、空間分解能を最大65%向上⁴
Ingenia Ambition 1.5Tマグネットは、次世代のMRIテクノロジーです。優れたMRIシステムに求められる最も重要な特徴がまとめて手に入ります。”
Constantino Peña 医師
Miami Cardiac and Vascular Institute、Baptist Hospital、Medical Director of Vascular Imaging
通常であれば1,500リットルのヘリウムを必要としますが、この装置では貴重な地球資源を節約できます。でもそれだけではありません。この装置では費用も節約でき、さらにこれまでよりも環境に優しくなります。”
Marίa del Mar Travieso 医師
スペイン、Hospitales San Roque、Head of Radiology Department
通常であれば1,500リットルのヘリウムを必要としますが、この装置では貴重な地球資源を節約できます。でもそれだけではありません。この装置では費用も節約でき、さらにこれまでよりも環境に優しくなります。”
Marίa del Mar Travieso 医師
スペイン、Hospitales San Roque、Head of Radiology Department
Compressed SENSE、VitalEye、VitalScreenなど、ワークフローを改善できるアプリケーションがたくさんあります。このシステムでは、安全性とワークフローの改善を両立できると感じています。”
渋川 氏
日本、東海大学、放射線技師

Ingenia Ambition 1.5Tは次のものをすべて備えています。MRIサービスをあらゆるレベルで改善する機会が得られます。

さらなる高速化の実現 SmartSpeedはAIの搭載と対応シーケンスの拡大により、MRI検査のニーズに応え、高速かつ高画質イメージングを提供します。

スタッフの満足度 ワークフローでは必要に応じてガイダンスや自動化が利用でき、スタッフ満足度の向上に役立ちます。

検査ストレスからの開放 快適さの向上と自動コーチングによって、患者の満足度が向上し、ストレスを低減します。

確信が持てる画像診断 すべての臨床領域でイメージング機能を拡張します。医療従事者が享受できるメリットをご覧ください。
1 稀なケースとして、マグネットの密封が損なわれた場合でもヘリウムの量はわずかであるため、漏れたヘリウムが室内の酸素レベルに影響を与えることは実質的にありません。 2 Philips SENSEとの比較。 3 心拍数が低い (50 bpm) とき。Compressed SENSEなしのフィリップススキャンと比較した場合。 4 等方性3D MSK VIEWスキャンで、Compressed SENSEなしのフィリップススキャンと比較した場合。
5 Ingenia 1.5T ZBOマグネットと比較した場合。
You are about to visit a Philips global content page
Continue