Precise Position
Alカメラにより、ポジショニング時間が最大23%短縮し、ユーザー間の一貫性が最大70%向上します²

担当者にお問い合わせください。
強化された低線量での検査では、高速で一貫性のある結果を得られます。AIは、ユーザーと患者のためにあらゆる段階でのインテリジェントな自動化で、この飛躍的な進歩を支えます。¹

一貫性を最大70%向上²
操作者間でのポジショニングの一貫性が大幅に向上しました

ポジショニング時間を最大23%短縮² 患者の自動ポジショニングにより、患者フローが改善され、線量と画像ノイズの管理が容易になります

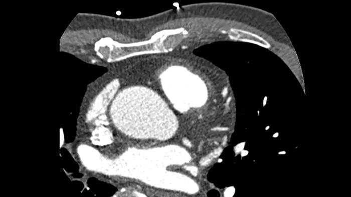
心臓イメージングの課題を克服
モーションフリーの心臓イメージングにより、高い心拍数での画質が向上します


一貫性を最大70%向上²
操作者間でのポジショニングの一貫性が大幅に向上しました

ポジショニング時間を最大23%短縮² 患者の自動ポジショニングにより、患者フローが改善され、線量と画像ノイズの管理が容易になります

心臓イメージングの課題を克服
モーションフリーの心臓イメージングにより、高い心拍数での画質が向上します

診断確度の強化 線量の低減と画質の向上を両立して臨床目標を達成します

読影時間の短縮 高度な再構成により、診断の信頼性が向上し、読影時間が短縮されます

インターベンション手技の迅速化 迅速かつ正確なニードル計画、ガイダンス、トラッキング


診断確度の強化 線量の低減と画質の向上を両立して臨床目標を達成します

読影時間の短縮 高度な再構成により、診断の信頼性が向上し、読影時間が短縮されます

インターベンション手技の迅速化 迅速かつ正確なニードル計画、ガイダンス、トラッキング
CT Smart Workflowがチームを各ステップで支援する様子をご確認ください

Alカメラにより、ポジショニング時間が最大23%短縮し、ユーザー間の一貫性が最大70%向上します²

You are about to visit a Philips global content page
ContinueAlは、低線量での画像を可能にする高度な技術を提供し、診断の信頼性を高めます

You are about to visit a Philips global content page
ContinueAI画像再構成機能は、すべてのリファレンスプロトコルにおいて<1分以内で画像再構成を可能にします

You are about to visit a Philips global content page
Continue自動ニードルトラッキングにより、インターベンション手技時間を短縮します

You are about to visit a Philips global content page
Continue冠動脈造影法の向上により、心臓の拍動によるブレを補正し高度な再構成でモーションフリーの心臓スキャンを実現します

You are about to visit a Philips global content page
Continue"i" アイコンをクリックすると、CT Smart Workflowでの各進歩が表示されます
Smart Workflowが チームをよりスマートなワークフローによって各ステップで支援する様子をご覧ください

Alカメラにより、ポジショニング時間が最大23%短縮し、ユーザー間の一貫性が最大70%向上します²

You are about to visit a Philips global content page
ContinueAlは、低線量での画像を可能にする高度な技術を提供し、診断の信頼性を高めます

You are about to visit a Philips global content page
Continue自動ニードルトラッキングにより、インターベンション手技時間を短縮します

You are about to visit a Philips global content page
ContinueAI画像再構成機能は、すべてのリファレンスプロトコルにおいて<1分以内で画像再構成を可能にします

You are about to visit a Philips global content page
Continue冠動脈造影法の向上により、心臓の拍動によるブレを補正し高度な再構成でモーションフリーの心臓スキャンを実現します

You are about to visit a Philips global content page
Continue"i"アイコンをクリックすると、Smart Workflowでの各進歩について詳細が表示されます
最大80%の線量低減、最大85%のノイズ低減、最大60%の低コントラスト検出能の改善を同時に実現した画質を体験してください。³ Precise Imageには、フィルタ補正逆投影法(FBP)に近い、使い慣れた画像外観があります。クラス最高の低コントラスト検出能も可能になります。
バーをスライドさせて、Precise Imageを使用した場合と使用しない場合の画像を比較してください。
1分間の短いデモをご覧ください Philips Incisive CTでの CT Smart Workflowにより、ワークフローが改善されます。毎日使用するツールにAIを組み込んでいるため、CTのパフォーマンスに対する一般的な障害を取り除き、あなたと患者のために線量、速度、画質の精度を向上させることができます。詳細をご覧ください。

CT Smart Workflowを使用したIncisive CTのデモビデオ(10分間)をご覧ください

1 EUハイレベル専門家グループによるAIの定義に基づく。
2 5 人の臨床専門家によるPhilips社内評価に基づき、人体ファントムを使用した40件の臨床症例における手動位置決めとプレサイス・ポジションを比較。
3 画像ノイズの低減、低造影剤量検出能力の改善、および / または被ばくの低減は、基準体格プロトコルを使用してテスト済みです。すべてのメトリックはファントムでテストされました。低造影剤量検出能力のテストは 1.0 mmスライスを使用して実施し、自動ツール「CHO」(チャネライズドホテリングオブザーバ)を使用して、MITA CT IQ Phantom(CCT183、Phantom Laboratory)で実施トしました。データはファイルに記録されています。
このコンテンツは米国のお客様を対象としていません。
You are about to visit a Philips global content page
Continue