xMATRIXテクノロジを活用することで、より明瞭な画像でより詳しく観察し、治療法を導きだし、迅速かつ簡便な検査を可能にします。
フィリップスのxMATRIXは、現在の技術の中でも最先端の超音波トランスジューサテクノロジーです。xMATRIXテクノロジーは、素早く簡単にボリュームデータを収集、2Dイメージングでは不可能な断面の提供を実現し、そのすべてが高画質で実現されます。3Dを用いることで解剖と機能を確実に評価し、病変を迅速に特定することができます。

xMATRIXでは、2D、3D/4D、Live 3D Echo、Live xPlane、Live 3D Zoom、Live 3D Full Volume、iRotate、Live MPR、MPR、Mモード、パルス・連続派ドプラ、カラードプラ、CPAなど、1つのトランスジューサですべてのモードを使用できます。3Dデータを取得するためにトランスジューサを切り替える必要はありません。検査終了後でも3D操作やクロッピングツールなどを使用することができます。

xMATRIXトランスジューサは、成人および小児の心臓検査、腹部 / 血管 / 産科 / 婦人科検査、心臓および腹部のインターベンション手術など、幅広く臨床に応用できます。xMATRIXは、各種EPIQ 、Affiniti70およびCX50 xMATRIXに搭載することができます。

スキャン性能のレベルを引き上げたxMATRIXトランスジューサでは、コンピュータボード150台分のパワーと、2,500~9,000超の素子による完全サンプルを用いた360度のフォーカスとステアリングを活用します。当社のnSIGHTおよびPureWaveクリスタルテクノロジと併用することで、パワーはさらに強化されます。
Live Volumeイメージングで優れたボクセル分解能にて、真のリアルタイムフレームレートでフルボリュームデータを収集およびレンダリングできます。
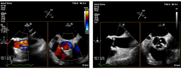
Live xPlaneイメージングは、フル分解能の断面を2断面同時に描出し、通常の2Dイメージングと同じ時間で2倍の臨床情報を取り込むことができます。

スキャン時の快適性
心臓検査でLive xPlaneイメージングを使用すると、同一心拍における2断面を同時収集し、重要な情報を迅速かつ確実に取り込むことができます。


iRotateは、画質とワークフローの両立を容易にするxMATRIXの革新的な機能です。手動でトランスジューサを回転させて肋間に阻害されビューを描出できない場合でも、iRotateでは電子的にビームを回転させて適切な音響ウィンドウからのビューの取得を可能にします。例えば心エコーで使用するX5-1トランスジューサであれば、iRotateを使用して1つのウィンドウから心尖部四腔像、二腔像、三腔像の取り込みを行うことができます。そのため、手首の負担が軽減されるだけでなく、心不全患者などで左室を斜め切りしてしまうことによる誤差も回避できます。
xMATRIXトランスデューサは、様々な患者に対応できる多様なモードを備えています。
One Probe Solution for 2D and 3D Echo – clinical benefits and workflow improvements(2Dおよび3Dエコーに対応するワンプローブソリューション – 臨床的メリットとワークフローの改善) Andreas Franke, Head of Cardiology and Internal Intensive Care, Klinikum Siloah, Hannover, Germany
Live cast study: Atrial Septal Defect Diagnosis(ライブキャストスタディ:心房中隔欠損の診断) John D Carroll, Director of Cardiac and Vascular Center and Interventional Cardiology, University of Colorado, Aurora, Colorado
You are about to visit a Philips global content page
Continue