虚血性脳卒中

Ischemic stroke treatment

神経血管アイコン image

Neurovascular careのページ

脳卒中治療の新たな課題の解決に向けて

 

虚血性脳卒中患者の第一選択治療として、機械的血栓回収療法が大幅に増加しています。また、この領域では、患者選択が時間ベースから画像ベースへとシフトしています。Philips Neuro suiteは、こうしたトレンドに対応するために開発されました。ワークフローを改善させ、高レベルの治療を支援し、脳卒中患者の転帰を向上することができます。

主要製品

ProcedureCards image

Procedure Card

ルーチンの検査から高度な血管内治療まであらゆるケースにおけるシステム設定を標準化

どのような状況でも選択されたシステム設計により同じ品質の医療を患者に提供することが可能

ある病院では、検査室での準備時間がProcedure Cardによって12%短縮¹されました

    脳卒中治療のための臨床ソリューション

    インフォグラフィック画像 image
    3つのスマートCT image

    CTライクイメージ


    SmartCT Soft Tissueは、軟部組織をCTのように可視化し、3つの方法で脳卒中診断を支援します。非造影スキャンは、早期虚血性変化の検出に役立ちます。造影スキャンの早期フェーズでは、近位閉塞の識別に役立ちます。造影スキャンの後期フェーズでは、側副路の検出をサポートします。

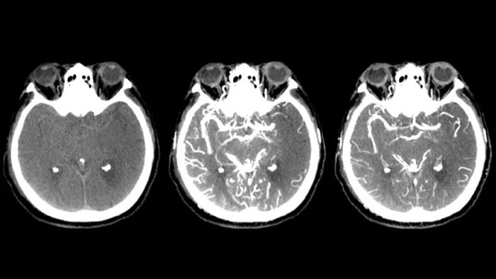
    SmartCT Vaso IV

    血栓の位置と長さを確認

    SmartCT Vasoでは、脳梗塞の梗塞部位の全体像を可視化することができる撮影機能です。SmartCT Vasoは、動脈への造影コーンビームCTに高分解能撮影の技術を組み合わせた撮影技術でrestrictive fillingによる梗塞部位の遠位血管も描出することができ、血栓の位置、長さ、梗塞部位の全体像を視覚化できます。3Dロードマップを組み合わせて使用することにより、術中の血栓回収デバイスのナビゲーションも可能となります。

    restrictive fillingによる遠位血管の描出

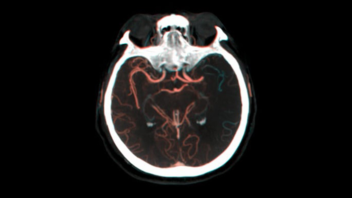
    側副路充満の可視化 image

    Dual Viewにより造影コーンビームCT撮影の早期相画像と後期相画像を並べて表示するデュアルビュー機能により、ペナンブラの識別や側副血行路の確認が可能です。

    治療後の確認

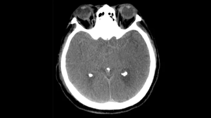
    SmartCT Soft Tissue

    SmartCT Sofy Tissue撮影にて、出血の有無等、治療後の確認を行います。

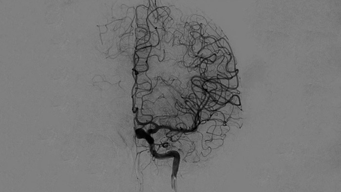
    ClarityIQテクノロジーを搭載した鮮明な画像

    ClarityIQテクノロジーを使用した2D DSA

    ClarityIQは、DSA撮影中の自動体動補正機能や、リアルタイム画像最適化処理により鮮明な画像を医師します。これにより、脳卒中治療において信頼性の高い画像での意思決定行うことができます。

    正確な3Dナビゲーションを支援する解剖学的リファレンス

    SmartCT image

    SmartCT Roadmapでは、ガイドワイヤ、カテーテル、およびデバイスの正確なナビゲーションをサポートする解剖学的なリファレンスを提供します。

    治療の効果を確認

    DSAの視覚化 image

    高品質のDSA画像により、血栓が完全に回収されたかどうか、血栓の断片が脳内で遠位に分散しているかどうかを評価できます。また、ペナンブラへの血流の回復を確認し、治療前後の血流のチェックをすることができます。

    視認性の向上

    Roadmap Pro

    血栓に到達できるかどうか、およびどのルートを使用するかについて、十分な情報をに基づいて判断することができます。Roadmap Proは、放射線被ばくのバランスを保ちながら、重複する血管の視認性を向上させます。

    脳卒中治療のワークフローイノベーション


    Azurionは、オンコールスタッフが効率的かつ容易に作業できるように設計された多くのワークフローイノベーションを提供し、放射線量を管理し、患者に集中して脳卒中のインターベンションを実施できるように設計されています。

    Azurion biplane neuro cerebral
    FlexVision ProおよびTSM Pro

    テーブルサイドでの操作による時間を短縮

    FlexVision Proを使用すると、は、患者情報、術前の診断画像の確認、手技のプランニングをテーブルサイドから直接アクセスして、完全コントロールでき、操作室への移動の無駄を削減することができます。タッチスクリーンモジュールProでは、テーブルサイドで画像やアプリケーションをテーブルサイドで簡単に操作できます。

    ※FlexVision ProおよびタッチスクリーンモジュールProはAzurion 7専用であり、Azurion 3およびAzurion 5では使用できません。

    マルチタスク処理により処置時間が短縮

    Instant Parallel Working

    Instant Parallel Workingにより、チームメンバーは互いに妨げることなく異なるタスクを同時に処理し、脳卒中患者の処置時間を短縮できます。

    ヘッドレストを使用して体動アーチファクトを低減

    神経ヘッドレスト image

    意識下鎮静で落ち着きのない患者を抑制し、手技中の体動アーチファクトを低減するために使用できます。

    急性期医療のための手術台統合型システム

    Getinge Magnus手術台

    Getinge Magnus手術台は、救命救急および外傷治療に使用できます。Azurionと同期しており、フィリップスの先進的なソリューションを活用できます。

    Azurion 7 M20が処置をバックアップ

    Getinge Magnus手術台

    モノプレーンアンギオシステムは、脳卒中専用のシステムとして、またはバイプレーンシステムのバックアップシステムとして使用が増えています。Azurion 7 M20は、すべての高度な脳血管インターベンショナルツールに対応しています。

    脳卒中治療の迅速化。
    転帰を改善。
     

    急性期脳卒中ではすべての患者が最善の治療を受けるべきです。ガイドラインの変更により、より多くの患者が経皮的脳血栓回収術の恩恵を受けることができ、血管内治療の適応が広がりました。

    DTASビデオ image

    脳血管インターベンションのさまざまな処置を見る

    • Cerebral Aneurysm treatment

      Cerebral Aneurysm treatment

      脳動脈瘤の治療に求められる明瞭な画像と効率的なナビゲーション

      詳細
    • AVM treatment

      AVM treatment

      複雑なAVMを「治療する」か「治療しない」か、自信を持って判断する

      詳細

    参考文献

     

    * 『SmartCT Instructions for Use(SmartCT取扱説明書、英語版のみ)』に記載されているとおり

     

     

    1. シミュレーションスタディは世界中で60名を超えるユーザーを対象に行われ、2015年11月~2016年2月に実施されたユーザーテストで得られた結果。テストはUse-Lab GmbH(独立した客観的なユーザビリティテストのエンジニアリングコンサルティングおよびユーザーインタフェース設計会社)で計画、監督されました。テストには、米国を拠点とする31名の臨床医(16名の医師と15名の技術者)と欧州を拠点とする30名の臨床医(15名の医師と15名の技術者)が関わり、シミュレーションされたインターベンショナルラボ環境でAzurionを使用して処置を実行しました。

    お問い合わせ内容に応じて選択ください。

    1
    ご希望の項目をご選択ください
    2
    ご連絡先

    You are about to visit a Philips global content page

    Continue

    You are about to visit a Philips global content page

    Continue

    当社サイトを最適な状態で表示するには、最新バージョンの Microsoft Edge、Google Chrome、または Firefox をご利用ください。

    あなたは医療従事者ですか?
    チェックマークをお願いします

    ご注意:

    このホームページは、当社の医療機器に関する情報を、医療従事者の方へご提供することを目的として作成しております。一般の方への情報提供を目的としたものではありませんので、あらかじめご了承ください。